• 00989126133208

Effective strategies for managing late implant failure and peri-implantitis

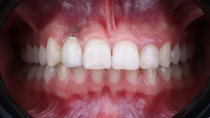
Late implant failure, particularly in the aesthetic zone, presents significant clinical and biological challenges. This case report describes a digitally guided, biologically sound treatment pathway for managing a failed implant due to peri-implantitis and malposition in a 26-year-old female patient. The implant was removed using a reverse torque technique, and this was followed by vertical […]

Read More

UK takes steps towards sustainability through recyclable toothpaste tubes

BANBURY, England: Traditional toothpaste tubes present environmental and practical challenges because they are often excluded from standard recycling systems and contribute significantly to plastic pollution. When these tubes break down into microplastics, the particles can enter waterways, oceans and soil, potentially harming ecosystems and even entering the food chain. Marking a significant step towards sustainable […]

Read More

Adapting dental education for Generation Z: Why active learning is key

MENDOZA, Argentina: Dental education is at a cross-roads as Generation Z enters the classroom. Born between 1997 and 2012, this cohort has grown up with smartphones, social media and instant access to information. Their expectations regarding learning are reshaping traditional teaching, creating both challenges and opportunities for educators. A recent systematic review by researchers in Argentina […]

Read More

AI-generated versus human-crafted smiles: Aesthetic preferences in digital smile design

MANGALORE, India: Digital smile design has begun employing artificial intelligence (AI), raising questions about the quality and acceptability of AI-generated design. A recent study from a team of researchers based in India has compared the aesthetic appeal of AI-generated versus prosthodontist-crafted designs. The findings suggest that, while AI can produce visually acceptable outcomes, human expertise […]

Read More

Amalgam replacement with flowable composite

For many clinicians, flowable composites are seen as a useful liner or base material below stronger, packable composites or indirect restorations, or as a temporisation material. A common misconception is that their use is limited, owing to poor mechanical properties. Several latest-generation flowable composites have mechanical properties that are on par with those of many […]

Read More

Study demonstrates potential of IOS-based teledentistry for paediatric dental assessments

GIESSEN, Germany: To expand access to paediatric care beyond the traditional clinical setting, the application of asynchronous teledentistry is gaining interest. A recent study from Germany compared findings from intra-oral scans (IOSs) with standard visual dental examinations in children to determine whether paediatricians could use IOSs to provide diagnoses and treatment recommendations reliably compared with […]

Read More

The future of dentistry: Younger female dentists are reshaping the profession

CHICAGO, US: Dentistry is undergoing a generational and gender shift. As highlighted in The U.S. Dentist Workforce, a new report from the American Dental Association (ADA) Health Policy Institute, the dental workforce is transitioning towards a younger demographic, and women are making up an increasing share of practitioners. This transformation has profound implications for workforce planning, […]

Read More

Virtual reality in restorative dentistry: Global study maps research growth and gaps

DOHA, Qatar: Virtual reality (VR) is rapidly gaining ground in dental training, particularly for restorative dentistry. A new bibliometric study from a team of researchers in Qatar has mapped the global research landscape, highlighting trends, leading contributors and critical gaps that must be addressed if immersive technologies are to fulfil their potential in education and […]

Read More

FDA finalises guidance on animal studies for dental bone grafting devices

SILVER SPRING, Md., US: The US Food and Drug Administration (FDA) has finalised guidance on animal studies for dental bone grafting material devices, aiming to reduce reliance on animal testing in premarket submissions. Published in August 2025, the document updates earlier guidance from 2005 and is intended to reflect current review practices, promote consistency and […]

Read More

Implants Symposium 2025 to explore advances in oral implantology

On 17 October, the DT Study Club will host the Implants Symposium, a free-of-charge online event dedicated to the latest developments in oral implantology. The event is part of a new series of online educational events focused on key areas of dental specialisation, and the programme will feature expert-led sessions covering surgical techniques, prosthetic solutions, […]

Read More

BITE GUARD Registration Form